Rtg panoramiczne/cefalo/punktowe

rtg panoramiczne/cefalo/punktowe

Jakie są rodzaje Rtg ?

Wyróżniamy kilka rodzajów zdjęć rentgenowskich  wykonywanych w gabinetach stomatologicznych.

Są to :

-zdjęcie pantomograficzne 

-zdjęcie cefalometryczne 

-zdjęcie punktowe przylegające 

-zdjęcie stawów skroniowo-żuchwowych

-zdjęcie PA zatok

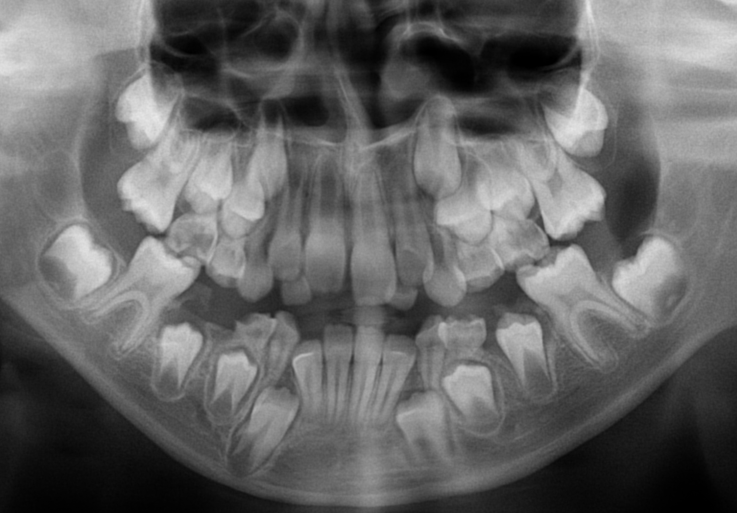
Pantomogram to panoramiczne zdjęcie RTG, które jest wykorzystywane przez lekarzy w różnych celach np. przy wizycie kontrolnej pozwala wykluczyć stany zapalne przy korzeniach zębów i wykryć pierwsze objawy różnych chorób jamy ustnej. 

Jest pomocny także przy planowaniu leczenia: protetycznego, ortodontycznego czy chirurgicznego, a także przy kontroli wyrzynania się zębów stałych u dzieci. 

Pantomogram umożliwia jednoczesne zobrazowanie zębów, szczęki i żuchwy, części zatoki szczękowej, podniebienia twardego i stawów skroniowo-żuchwowych. 

Takie zdjęcie wykonuje się wyłącznie z zalecenia od lekarza stomatologa, wymaga ono pisemnego skierowania.

Zdjęcie cefalometryczne- to zdjęcie boczne głowy inaczej zwane „zdjęciem cefalo” jest zalecane przez ortodontów przy diagnostyce wad zgryzu i wad rozwojowych części twarzowej czaszki.

Pomaga lekarzowi ocenić proporcje zębowo-wyrostkowe. 

Dodatkowo, dzięki analizie cefalometrycznej na podstawie zdjęcia uzyskujemy informacje na temat wzajemnych relacji pomiędzy podstawą czaszki, szczękami i zębami. 

Ponadto, analiza ta pozwala także lepiej zrozumieć przyczynę wady, a przede wszystkim zaplanować nasze postępowanie terapeutyczne. 

Zdjęcie to wymaga pisemnego skierowania.

Zdjęcie punktowe, przylegające to zdjęcie obejmujące 2-3 zęby. Wykonywane jest w celu zdiagnozowania jednego lub kilku zębów. 

W swoich dzieciach widzimy siebie, lecz takich, którzy mogą dokonać lepszych wyborów niż my sami .